Kaj je OCT?
Optična koherentna tomografija (OCT) tomografija je sodobna revolucionarna metoda, ki ustvari tridimenzionalno sliko očesa in na tak način posname anatomijo očesa skupaj z bolezenskimi spremembami.
Optična koherentna tomografija (OCT) postaja ena od najpomembnejših preiskav bolezni mrežnice, in vidnega živca.
Tomografija je slikanje v plasteh oziroma globinsko slikanje tkiva, ki omogoči morfološko analizo in kvantitativne spremembe v različnih stadijih bolezni. To nam omogoča natančno diagnostiko in spremljanje glavkoma in obolenj rumene pege (diabetična makulopatija, starostna degeneracija rumene pege, itd.).

Imate vprašanje, potrebujete nasvet ali pomoč?
Pišite nam in pomagali vam bomo najti odgovor.
Pokličite nas 01 898 51 56 ali 031 702 275
Ali nam pišite na email
info@optometrija-optikamanja.si
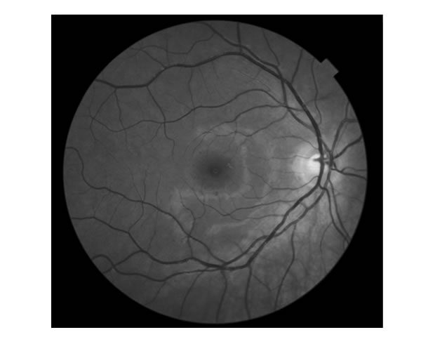
Slikanje očesnega ozadja OCT
Spremembe na očesnem ozadju se pogosteje pojavijo pri očesnih boleznih predvsem pri diabetesu, pri degeneraciji rumene pege (t.i. makule) , arterijski hipertenziji ter glavkomu (t.i. očesni pritisk).
Zakaj OCT slikanje?
- Vpogled v globino po plasteh mrežnice
- Postopek je uporabniku prijazen
- Zabeležimo trenutno stanje ter ga arhiviramo
- Omogoča primerjavo in ugotavljanje sprememb ob kontrolnih pregledih




